jueves, 13 de septiembre de 2012

" ENFERMEDAD PERIODONTAL Y OSTEOPOROSIS"


Enfermedad Periodontal y Osteoporosis

Afecta a buen número de hombres y mujeres con una incidencia que oscila entre un 5 a 30 % de los adultos.
Entendiendo la osteoporosis como una enfermedad caracterizada por pérdida y fragilidad de la masa ósea con el consecuente aumento de riesgo de fractura.
La Osteopenia como una disminución en la masa ósea debido a un imbalance entre la resorción y la formación ósea que lleva a osteoporosis.
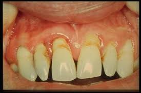
Enfermedad Periodontal como la inflamación (alteración) de los tejidos del diente, resultando en una resorción del hueso alveolar.

Con pérdida de los tejidos de sostén alveolar y la mayor causa de pérdida dentaria en el adulto.
La osteoporosis y la enfermedad periodontal se ha convertido en un problema de salud pública.
Que afecta a un gran número de hombres y mujeres con una incidencia que va aumentando directamente con la edad(3-5).
Reportes de la literatura concuerdan en que la osteoporosis generalizada afecta la velocidad de reabsorción y la densidad ósea del maxilar y la mandíbula.
La difusión de patologías como la enfermedad periodontal en revelan el 50% de la población adulta sufre de gingivitis.
Cerca del 30% de la población padece de periodontits moderada, el 5% de periodontitis severa y 0.5% de periodontitis de establecimiento temprano.
Epidemiólogos han dado nuevas ideas a la incidencia, prevalencia, historia natural y riesgo para enfermedad periodontal.
Los investigadores en microbiología oral han dado grandes ideas del rol de los tipos específicos bacterianos causantes de enfermedad periodontal,
Además otros investigadores han explicado el papel del huésped susceptible en la progresión de la enfermedad periodontal.
Los investigadores clínicos han sido capaces de demostrar que es posible disminuir o detener el progreso de la enfermedad periodontal
Y reconstruir las estructuras periodontales perdidas con nuevas y exitosas estrategias de tratamiento
Anatómicamente los dientes constan de una corona y una raíz, la unión entre ambos es el cuello dentario, están constituidos por esmalte, dentina y pulpa.
Se encuentran rodeados por el aparato de inserción periodontal que fija los dientes en los maxilares y está compuesto por ligamento periodontal, cemento y hueso alveolar.
Los dientes se unen al alvéolo por haces de colágeno (fibras principales), separadas por tejido conectivo laxo que contiene vasos sanguíneos y nervio.
Dicho ligamento funciona como mecanismo de soporte y fijación dental y se denomina ligamento periodontal.
La unidad dentoalveolar comprende cemento, ligamento periodontal y hueso alveolar.
El ligamento periodontal es el tejido que rodea las raíces dentales y se une al hueso alveolar.
El cemento es el tejido duro parecido al hueso que cubre las raíces anatómicas del diente.
El hueso alveolar propiamente dicho es una placa del hueso compacto que por su imagen radiográfica se denomina lámina dura.
La función principal de la unidad dentoalveolar es el soporte, además de la formativa, nutritiva y sensitiva.
La función de soporte consiste en el mantenimiento y retención del diente;
La formativa es necesaria para la restitución de tejidos: cemento, ligamento periodontal y hueso alveolar.
A esta función se vinculan tres células especializadas cementoblastos, fibroblastos y osteoblastos.









No hay comentarios:

Publicar un comentario