miércoles, 5 de septiembre de 2012

" Las Encias "


La encía  es una fibromucosa formada por tejido conectivo denso con una cubierta de epitelio escamoso queratinizado que cubre los procesos alveolares y rodea a los dientes.
La encía es contigua al ligamento periodontal y, en su exterior, con los tejidos mucosos de la cavidad oral.
La encía tiene por lo general un color rosa pálido y al encontrase adherido a los cuellos de los dientes (epitelio de unión) e insertado con fibras colágenas (inserción conectiva) forma un sellado que protege al hueso y demás tejidos de soporte.
Se habla de encía marginal, encía insertada y encía alveolar, según la zona bucal donde se encuentra.
La encía es componente del periodonto. 
Las encías son un tejido del interior de la boca, que cubre las mandíbulas, protegiendo y ayudando a sujetar los dientes.
Las encías son visibles al levantar los labios, su coloración, si están sanas, es entre rosácea y rojo pálido con los dientes firmemente sujetos.
Una higiene inadecuada o insuficiente puede producir enfermedades periodontales, incluida la gingivitis.
 La encía se divide en dos regiones, la encía libre (marginal) y la encía insertada.
Estas dos regiones se combinan para formar la punta de la encía, que se extiende en sentido coronal entre los dientes, lo que se conoce como papila interdentaria.
Esta evita el impacto de la comida en la zona interproximal bajo el área de contacto de los dientes y el establecimiento de una irritación que podría finalmente originar alguna patología periodontal.
Es la parte de la mucosa masticatoria que recubre el hueso alveolar y rodea la porción del cuello de los dientes.
La encía sana es de color rosa pálido, varía según las personas y se relaciona con la pigmentación cutánea.
Las personas más morenas suelen tener la encía más oscura, la forma de la encía varía y depende del tipo de diente, su posición en la boca, la localización y tamaño del área de contacto entre los dientes.
Es de consistencia variable y no deslizable, la encía puede ser dura, gruesa y con un gran número de depresiones (patrón de encía grueso) o bien blanda, fina y sin apenas depresiones (patrón de encía delgado).
El surco gingival es la hendidura o espacio poco profundo entre la encía y el diente en forma de “V”.
El sondaje periodontal consiste en la medición de este surco mediante la introducción de la sonda periodontal y el cálculo de la distancia que penetra. Este es un parámetro diagnóstico importante.
La profundidad de penetración de la sonda en la bolsa depende de varios factores como son el tamaño y forma de la punta de la sonda, la fuerza y dirección de introducción de la sonda, la resistencia de los tejidos a la penetración y la convexidad del diente.
La encía adherida es la continuación de la marginal.
Es firme y elástica.
El ancho de la encía adherida es la distancia entre la línea que separa la encía y la mucosa oral móvil (línea mucogingival) y la proyección a la superficie externa del fondo del surco gingival o de la bolsa periodontal.
La encía insertada aparece estrechamente unida al periostio del hueso alveolar y al cemento de la raíz por medio de fibras de tejido conectivo, que se entrecruzan en diversas direcciones.
Estos haces tienen las siguientes funciones: mantener la encía marginal adosada al diente, proporcionar la rigidez necesaria que soporte la fuerza de masticación sin separarse de la superficie dentaria .
La encía interdental ocupa el espacio entre los dientes por debajo del punto en que contactan.
La forma de la encía interdental está determinada por la relación de contacto entre los dientes, el ancho de las superficies dentarias adyacentes, la línea que separa la corona  y la raíz, y la presencia o ausencia de recesión gingival.
En los dientes anteriores la papila interdental posee una forma piramidal y está justo por debajo del punto de contacto, en tanto que en los molares existen dos papilas más aplanadas (una externa y una interna) y una depresión que las conecta.

Enfermedad de las encías
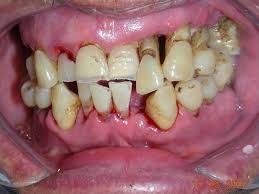
La encía puede llegar a inflamarse debido a una mala higiene dental, pudiendo afectar el tejido gingival y en un caso más severo al hueso que sostiene los dientes.
La inflamación de la encía consta de tres etapas:
1. Gingivitis: en ésta primera etapa la inflamación se da por la acumulación de placa, sin embargo el daño es reversible, ya que el hueso y el tejido conectivo aún no han sido afectados.

 2. Periodontitis: es una gingivitis avanzada, en donde el hueso y el tejido conectivo han sido dañados de forma irreversible.


 3. Periodontitis avanzada: en ésta etapa final las fibras se encuentran destruidas al igual que el hueso que sostiene los dientes, por lo que se requiere de un tratamiento mucho más profundo realizado por un dentista.


Detección de la enfermedad
Pueden presentarse problemas en la encía si se observan algunos de éstos síntomas en la misma:
 • Enrojecimiento, inflamación o sensibilidad.
 • Sangrado en el cepillado.
 • Retracción de las encías.
 • Mal aliento.

No hay comentarios:

Publicar un comentario